COX4I1(Mitochondrial Loading Control) Mouse mAb
细胞色素c氧化酶IV亚型1(内参)单克隆抗体
产品详情:
宿主/亚型:Mouse / IgG
靶标蛋白:COX4I1
克隆类型: Monoclonal
种属反应性:Human,Mouse,Rat,
应用: WB=1:500-2000,IHC-P=1:100-500,IHC-F=1:100-500,IF=1:200-800
纯化方法: affinity purified by Protein G
别名:COX41_HUMAN; Cytochrome c oxidase subunit 4 isoform 1, mitochondrial; COX4; Cytochrome c oxidase polypeptide IV; Cytochrome c oxidase subunit IV isoform 1 (COX IV-1); COX-IV; COX IV; COX 4; COX 4I1;
背景介绍:
Cytochrome c oxidase (COX) is the terminal enzyme of the mitochondrial respiratory chain. It is a multi-subunit enzyme complex that couples the transfer of electrons from cytochrome c to molecular oxygen and contributes to a proton electrochemical gradient across the inner mitochondrial membrane. The complex consists of 13 mitochondrial- and nuclear-encoded subunits. The mitochondrially-encoded subunits perform the electron transfer and proton pumping activities. The functions of the nuclear-encoded subunits are unknown but they may play a role in the regulation and assembly of the complex. This gene encodes the nuclear-encoded subunit IV isoform 1 of the human mitochondrial respiratory chain enzyme. It is located at the 3′ of the NOC4 (neighbor of COX4) gene in a head-to-head orientation, and shares a promoter with it. [provided by RefSeq, Jul 2008]
储存条件:0.01M TBS(pH7.4) with 1% BSA, 0.03% Proclin300 and 50% Glycerol. Shipped at 4℃. Store at -20 °C for one year. Avoid repeated freeze/thaw cycles.
注意事项:
- Quick spin before use. If you have any questions, please contact us.
- Optimal concentrations/dilutions should be determined by the end user.
- This product is for R&D only. Not for drug, household, or other uses.
- For your safety and health, please wear a lab coat and disposable gloves during the operation.
- The experimental results may be affected by many factors, after-sale service is limited to the product itself and does not involve other compensation.
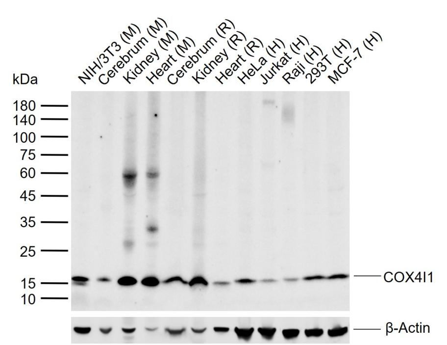
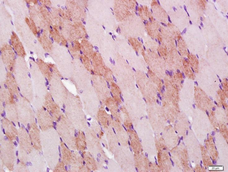
数据验证展示:
Primary: COX4I1(Mitochondrial Loading Control) Mouse mAb (BOAM-00005) at 1/1000 dilution;
Secondary: Goat Anti-Mouse IgG at 1/20000 dilution;
Predicted band size: 17 kDa; Observed band size: 17 kDa.
Paraformaldehyde-fixed, paraffin embedded (Rat skeletal muscle);
Primary: COX4I1(Mitochondrial Loading Control) Mouse mAb (BOAM-00005) at 1/400 dilution;
Secondary Antibody: Biotin Goat Anti-mouse IgG.

暂无评论