beta-Actin (Loading Control) Mouse mAb
β-肌动蛋白/β-Actin(内参)单克隆抗体
产品详情:
宿主/亚型:Mouse / IgG
靶标蛋白:beta-Actin
克隆类型: Monoclonal
种属反应性:Human,Mouse,Rat,
应用: WB=1:500-2000, IHC-P=1:200-2000, IHC-F=1:200-2000, Flow-Cyt=1ug/Test, IF=1:200-2000, ELISA=1:5000-10000
纯化方法: affinity purified by Protein G
别名:Beta Actin; beta-Actin; ACTB; Actin cytoplasmic 1; Actin, beta; Beta actin; beta cytoskeletal actin;A X actin like protein; ACTB; Actin cytoplasmic 1; alpha sarcomeric Actin; Actx; Beta cytoskeletal actin; Melanoma X actin; PS1TP5BP1; ACTB_HUMAN.
背景介绍:
Loading Control
This gene encodes one of six different actin proteins. Actins are highly conserved proteins that are involved in cell motility, structure, and integrity. This actin is a major constituent of the contractile apparatus and one of the two nonmuscle cytoskeletal actins. [provided by RefSeq, Jul 2008].
储存条件: 0.01M TBS(pH7.4) with 1% BSA, 0.03% Proclin300 and 50% Glycerol. Store at -20 °C for one year. Avoid repeated freeze/thaw cycles.
注意事项:
- Quick spin before use. If you have any questions, please contact us.
- Optimal concentrations/dilutions should be determined by the end user.
- This product is for R&D only. Not for drug, household, or other uses.
- For your safety and health, please wear a lab coat and disposable gloves during the operation.
- The experimental results may be affected by many factors, after-sale service is limited to the product itself and does not involve other compensation.
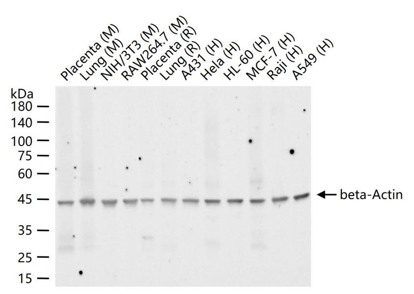
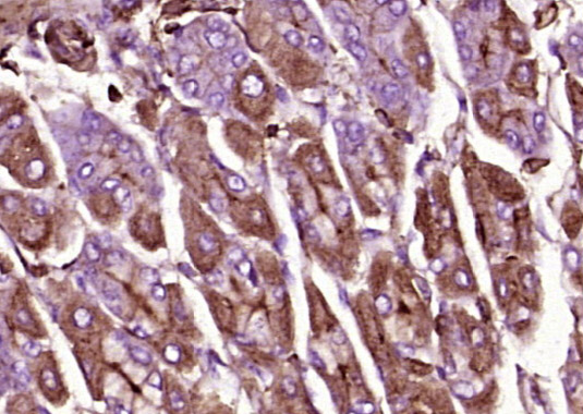
验证数据展示:
Primary:beta-Actin (Loading Control) Mouse mAb (BOAM-00010) at 1/1000 dilution;
Secondary: Goat Anti-Mouse IgG at 1/20000 dilution;
Paraformaldehyde-fixed, paraffin embedded (mouse stomach tissue);
Primary: beta-Actin (Loading Control) Mouse mAb (BOAM-00010) at 1/2000 dilution;
Secondary Antibody: Biotin Goat Anti-mouse IgG.

暂无评论