PCNA(Nuclear Loading Control) Mouse mAb
增殖细胞核抗原(内参)单克隆抗体
产品详情:
宿主/亚型:Mouse / IgG
靶标蛋白:PCNA
克隆类型: Monoclonal
种属反应性:Human,Mouse,Rat,
应用: WB=1:500-5000, IHC-P=1:100-500, IHC-F=1:100-500, Flow-Cyt=1:50, IF=1:100-500
纯化方法: affinity purified by Protein G
别名:Cyclin; DNA polymerase delta auxiliary protein; HGCN8729; MGC8367; Mutagen-sensitive 209 protein; Pcna/cyclin; PCNAR; Polymerase delta accessory protein; Proliferating Cell Nuclear Antigen
背景介绍:
Proliferating cell nuclear antigen (PCNA) is a 28kDa nuclear protein associated with the cell cycle, a nuclear protein vital for cellular DNA synthesis. Proliferating cell nuclear antigen was originally identified by immunofluorescence as a nuclear protein whose appearance correlated with the proliferate state of the cell. PCNA is required for replication of DNA in vitro and has been identified as the auxiliary protein (cofactor) for DNA polymerase delta. The anti-PCNA antibodies react with the nuclei of proliferating cells. PCNA is essential for cellular DNA synthesis and is also required for the in vitro replication of simian virus 40 (SV40) DNA where it acts to coordinate leading and lagging strand synthesis at the replication fork. The PCNA protein may fulfil several separate roles in the cell nucleus associated with changes in its antigenic structure.
储存条件:0.01M TBS(pH7.4) with 1% BSA, 0.03% Proclin300 and 50% Glycerol. Shipped at 4℃. Store at -20 °C for one year. Avoid repeated freeze/thaw cycles.
注意事项:
- Quick spin before use. If you have any questions, please contact us.
- Optimal concentrations/dilutions should be determined by the end user.
- This product is for R&D only. Not for drug, household, or other uses.
- For your safety and health, please wear a lab coat and disposable gloves during the operation.
- The experimental results may be affected by many factors, after-sale service is limited to the product itself and does not involve other compensation.
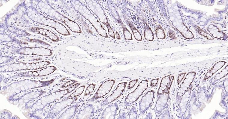
验证数据展示:
Primary: PCNA(Nuclear Loading Control) Mouse mAb (BOAM-00002) at 1/1000 dilution;Secondary: Goat Anti-Mouse IgG at 1/20000 dilution; Predicted band size: 36 kD Observed band size: 35 kD.
Paraformaldehyde-fixed, paraffin embedded Rat Colon; Primary:PCNA(Nuclear Loading Control) Mouse mAb (BOAM-00002) at 1/200 dilution; followed by conjugation to the HRP Detection System (Mouse) and DAB staining.

暂无评论