1 / 1
¥999,999.00
BOAR-00007-B GAPDH Rabbit Polyclonal 内参抗体
BOAR-00007-B
Biosharp/白鲨
现货

加载中...

剩余 9999

|

已售 0

快递发货 | 到店取货
服务简介
您好,欢迎进店选购
产品规格
规格
100ul

单位
购买数量
- +
兰杰柯官网
关注公众号进入店铺
店铺认证 公众号认证 支付认证

关注公众号

兰杰柯官网

长按识别二维码关注公众号

您还可以复制公众号,在微信里搜索公众号 “ 兰杰柯官网 ” ,并点击“关注”

GAPDH (Loading Control) Rabbit pAb

3-磷酸甘油醛脱氢酶(内参)抗体

 

产品详情:

宿主/亚型:Rabbit / IgG

靶标蛋白:GAPDH

克隆类型: Polyclonal

种属反应性:Human,Mouse,Rat

应用: WB=1:10000-200000, IHC-P=1:100-500, IHC-F=1:100-500, ICC/IF=1:100, IF=1:100-500

纯化方式: affinity purified by Protein A

别名:38 kDa BFA-dependent ADP-ribosylation substrate; Aging-associated gene 9 protein; BARS-38; cb609; EC 1.2.1.12; G3PD; G3PDH; GAPD; Glyceraldehyde 3 phosphate dehydrogenase;

背景介绍:

Glyceraldehyde 3 phosphate dehydrogenase (GAPDH) is well known as one of the key enzymes involved in glycolysis. As well as functioning as a glycolytic enzyme in cytoplasm, recent evidence suggests that mammalian GAPDH is also involved in a great number of intracellular proceses such as membrane fusion, microtubule bundling, phosphotransferase activity, nuclear RNA export, DNA replication, and DNA repair. During the last decade a lot of data appeared concerning the role of GAPDH in different pathologies including prostate cancer progression, programmed neuronal cell death, age related neuronal diseases, such as Alzheimer’s and Huntington’s disease. GAPDH is expressed in all cells. It is constitutively expressed in almost all tissues at high levels. There are however some physiological factors such as hypoxia and diabetes that increase GAPDH expression in certain cell types. GAPDH molecule is composed of four 36kDa subunits.

储存方式:0.01M TBS(pH7.4) with 1% BSA, 0.03% Proclin300 and 50% Glycerol. Shipped at 4℃. Store at -20 °C for one year. Avoid repeated freeze/thaw cycles.

注意事项:

  1. Quick spin before use. If you have any questions, please contact us.
  2. Optimal concentrations/dilutions should be determined by the end user.
  3. This product is for R&D only. Not for drug, household, or other uses.
  4. For your safety and health, please wear a lab coat and disposable gloves during the operation.
  5. The experimental results may be affected by many factors, after-sale service is limited to the product itself and does not involve other compensation.

 

验证数据展示:

Primary: GAPDH (Loading Control) Rabbit pAb (BOAR-00007) at 1/10000 dilution;
Secondary: Goat Anti-Rabbit IgG at 1/20000 dilution;
Predicted band size: 38 kD;Observed band size: 38 kD

 

 

 

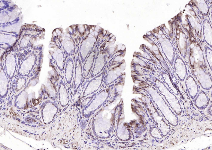
Paraformaldehyde-fixed, paraffin embedded (mouse colon); 
Primary Antibody:GAPDH (Loading Control) Rabbit pAb (BOAR-00007) at 1/200 dilution;
Secondary Antibody: Biotin Goat Anti-Rabbit IgG.

 

规格

100ul

单位

    暂无评论

数据加载中...
数据加载中...

产品标题

剩余 0

购买数量
- +
确认删除?
忘记密码

登录

请登录你的账号

扫一扫分享到微信朋友圈

立刻分享给好友

点击屏幕右上角将本页面分享给好友

知道了

授权获取定位

本站点由易极赞提供技术支持